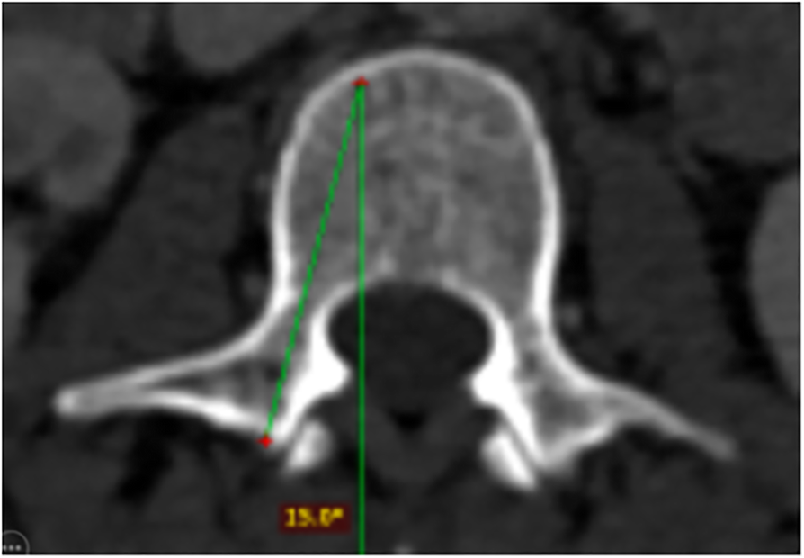
Fig. 4

The angle formed by the longitudinal trajectory of the right- and left-sided pedicles, and the midline anteroposterior axis of the vertebra (PAA)

The angle formed by the longitudinal trajectory of the right- and left-sided pedicles, and the midline anteroposterior axis of the vertebra (PAA)