Fig. 5

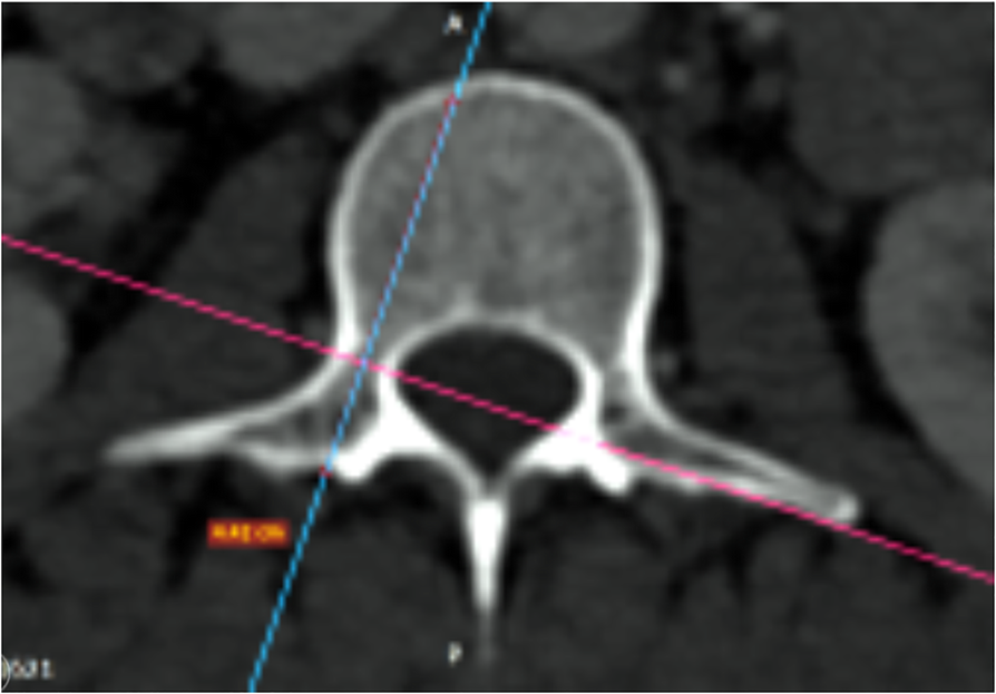
The postero-anterior trajectory’s length of the pedicle from the entry point of a hypothetical screw to the anterior cortex of the vertebra (PTLP) for the right- and left-sided pedicles

The postero-anterior trajectory’s length of the pedicle from the entry point of a hypothetical screw to the anterior cortex of the vertebra (PTLP) for the right- and left-sided pedicles